Female Pelvis 11 Image

Female Pelvis 11 Image

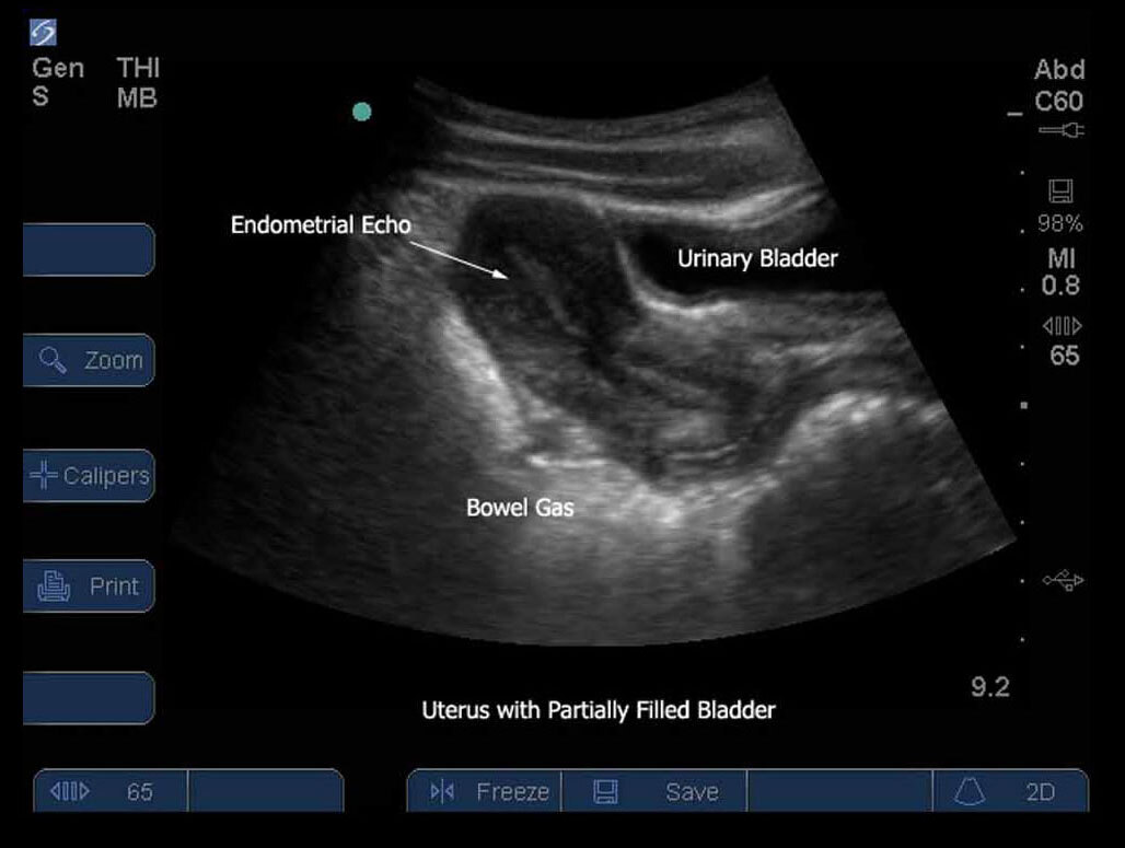
Uterus with Partially Filled Bladder 

  1. Endometrial Echo
  2. Bowel Gas
  3. Urinary Bladder