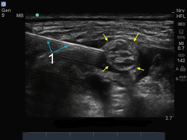
M-Turbo: Brachial Plexus Supraclavicular Injection Image

M-Turbo: Brachial Plexus Supraclavicular Injection Image

M-Turbo: Brachial Plexus Supraclavicular Injection

  1. Needle

Yellow Arrows: Nerve