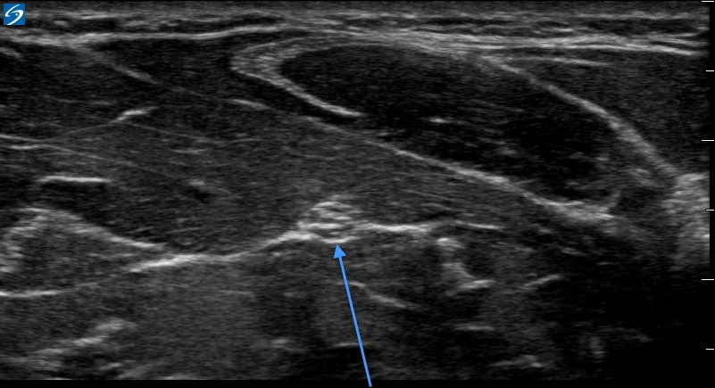
Antebrazo X-Porte: Imagen de eje transversal del nervio mediano

Antebrazo X-Porte: Imagen de eje transversal del nervio mediano

Flecha azul: Antebrazo - Eje trasversal del nervio mediano