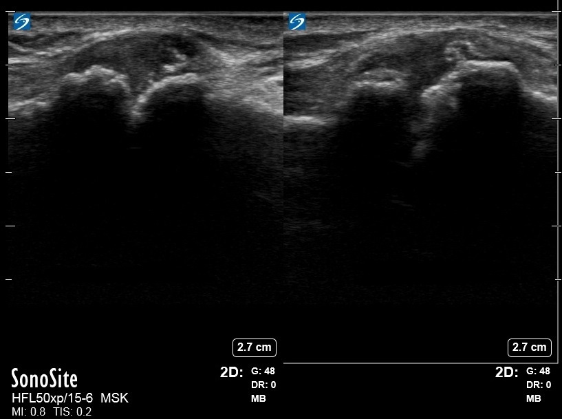
Imagen dinámica de la articulación AAC osteoartrítica del hombro

Imagen dinámica de la articulación AAC osteoartrítica del hombro

Izquierda: Compresión

Derecha: Neutro