Skip to main content
¿Qué quiere aprender?
Iniciar sesión
Unirse ahora
Iniciar sesión
Menu
Mi perfil
Mis cursos
Administrar cursos
Desconectar
Main navigation
Inicio
Cursos
Webinars
Product Training
Recursos
Menu
Recursos Sonosite
Recursos externos
Biblioteca virtual
Colaboradores
Contáctenos
Español
English
日本語
Deutsch
Français
简体中文
Español
English
日本語
Deutsch
Français
简体中文
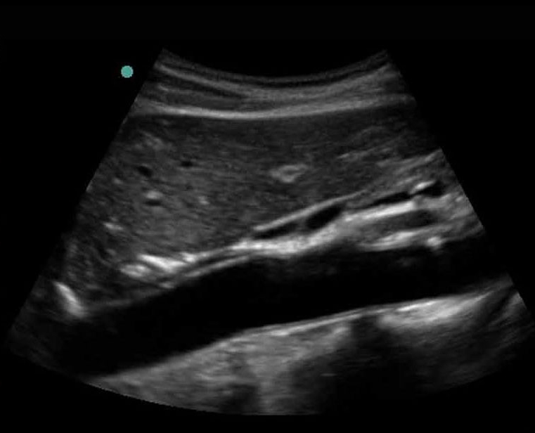
Imagen longitudinal proximal de la aorta
Imagen longitudinal proximal de la aorta