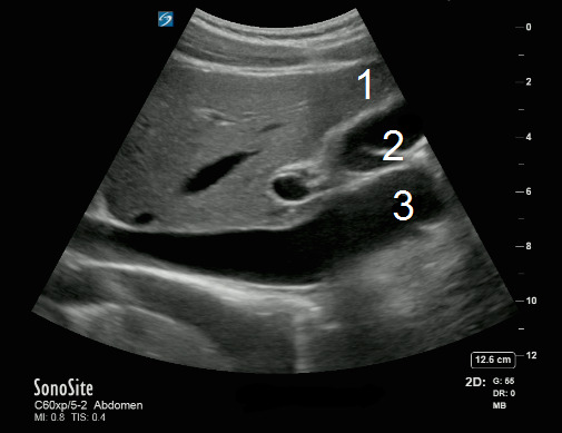
Imagen sagital de vena cava inferior (VCI) del hígado

Imagen sagital de vena cava inferior (VCI) del hígado

  1. Hígado
  2. Ves. Biliar (VB)
  3. Vena cava inferior (VCI)