M-Turbo: Aorta/Páncreas - Imagen transversal

M-Turbo: Aorta/Páncreas - Imagen transversal

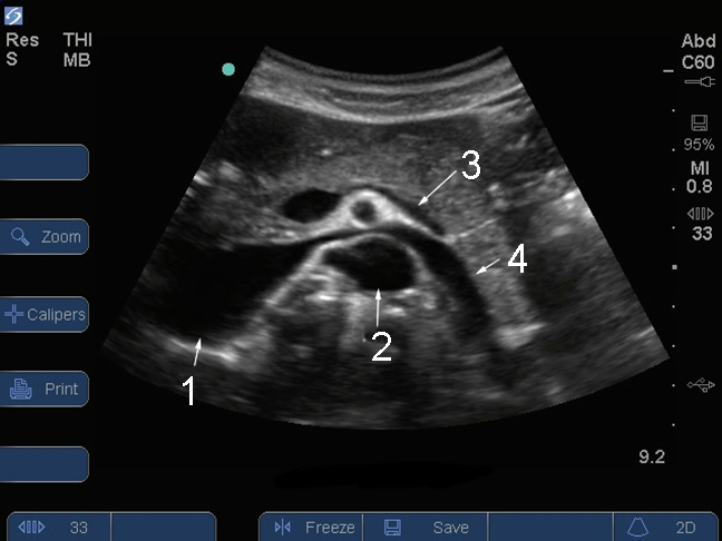
M-Turbo: Vista abdominal transversal de páncreas, aorta y VCI

  1. Vena cava inferior (VCI)
  2. Aorta (Ao)
  3. Vena esplénica
  4. Vena renal izquierda (VRI)