Serie S: Aorta/arterias transversales proximales - Imagen

Serie S: Aorta/arterias transversales proximales - Imagen

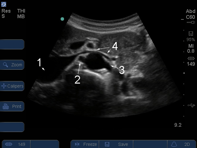
Orígenes de arteria renal

  1. Vena cava inferior (VCI)
  2. Arteria derecha 
  3. Arteria izquierda
  4. Vena izquierda