Serie S Series: Arterias aorta/celíaca proximal - mesentérica superior (SMA) - Imagen

Serie S Series: Arterias aorta/celíaca proximal - mesentérica superior (SMA) - Imagen

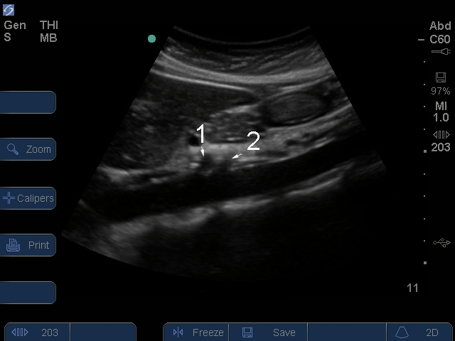
Aorta abdominal

  1. Celíaca
  2. Arteria mesentérica superior (AMS)