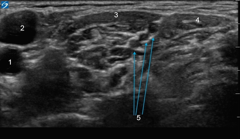
Image 1 : X-Porte : bloc interscalénique

Image 1 : X-Porte : bloc interscalénique

  1. Artère carotide
  2. Veine jugulaire
  3. Scalène antérieure
  4. Scalène moyen
  5. Nerfs