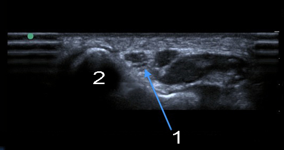
Image : Coude : Tunnel cubital en coupe petit axe

Image : Coude : Tunnel cubital en coupe petit axe

  1. Image : Coude : Vue transverse du nerf ulnaire au niveau du tunnel cubital
  2. Épicondyle médial