Image postprandiale - Vue longitudinale de la vésicule biliaire

Image postprandiale - Vue longitudinale de la vésicule biliaire

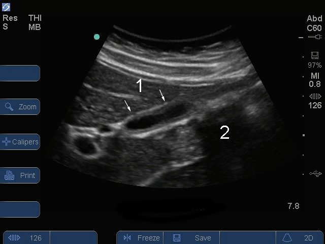
S Series : Postprandial - Vue longitudinale de la vésicule biliaire

  1. Vésicule biliaire postprandiale
  2. Gaz dans les intestins