Image - Vésicule biliaire 3

Image - Vésicule biliaire 3

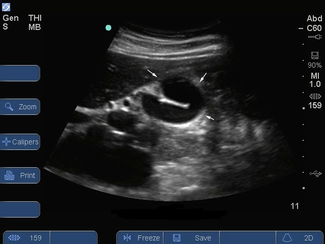
S Series : Vue longitudinale de la vésicule biliaire Vue du bonnet phrygien