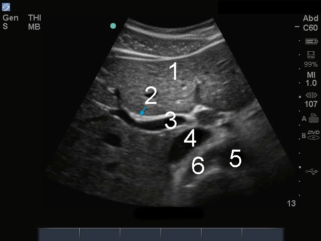
Image - Voie biliaire principale (VBP) de la vésicule biliaire

Image - Voie biliaire principale (VBP) de la vésicule biliaire

Veine porte, VBP

  1. Foie
  2. Voie biliaire principale (VBP)
  3. Veine porte (VP)
  4. Veine cave inférieure (VCI)
  5. Aorte
  6. Artère rénale droite (ARD)