Image - Vue longitudinale de la vésicule biliaire 2

Image - Vue longitudinale de la vésicule biliaire 2

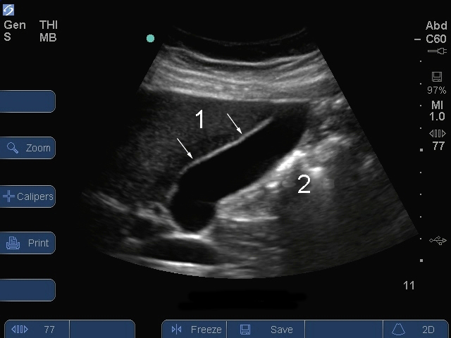
S Series : Vue longitudinale de la vésicule biliaire 2

  1. Paroi antérieure de la vésicule biliaire
  2. Gaz dans les intestins