Skip to main content
Que souhaitez-vous apprendre ?
Se connecter
Inscrivez-vous maintenant
Se connecter
Menu
Mon profil
Mes cours
Admin Courses
Déconnexion
Main navigation
Accueil
Cours
Webinaires
Product Training
Toolkits
Menu
Ressources Sonosite
Autres ressources
eLibrary
Contributeurs
Contactez-nous
Français
English
Español
日本語
Deutsch
简体中文
Français
English
Español
日本語
Deutsch
简体中文
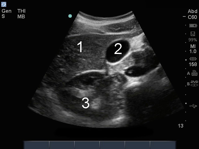
Image - Vue transverse de la vésicule biliaire
Image - Vue transverse de la vésicule biliaire
Foie
Vés. biliaire (VB)
Rein droit