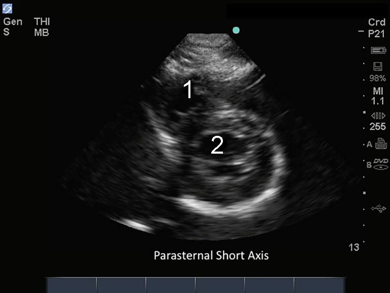
M-Turbo : Image - Axe court parasternal

M-Turbo : Image - Axe court parasternal

M-Turbo : Axe court parasternal

  1. Ventricule droit (VD)
  2. Ventricule gauche (VG)