M-Turbo : Image - Axe long parasternal (PLAX)

M-Turbo : Image - Axe long parasternal (PLAX)

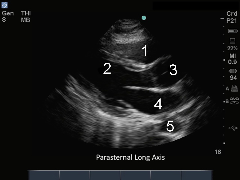
M-Turbo : Axe longitudinal parasternal

  1. Ventricule droit (VD)
  2. Ventricule gauche (VG)
  3. Aorte (Ao) ascendante
  4. • Oreillette gauche (OG)
  5. Aorte (Ao) descendante