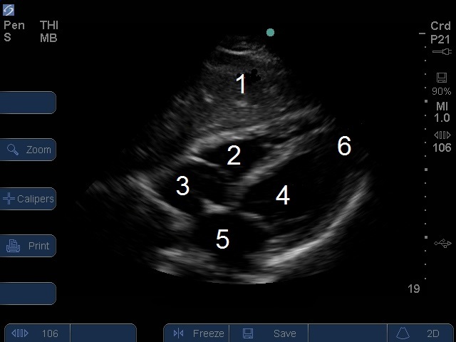
S Series : Image - Vue sous-xiphoïdienne du cœur

S Series : Image - Vue sous-xiphoïdienne du cœur

  1. Foie
  2. Ventricule droit (VD)
  3. Oreillette droite (RA)
  4. Ventricule gauche (VG)
  5. • Oreillette gauche (OG)
  6. Apex cardiaque